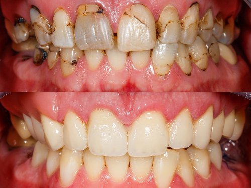
Full Mouth Rehabilitation

Full mouth rehabilitation is a comprehensive treatment plan designed to restore the function, aesthetics, and health of your entire mouth. Whether you’re dealing with multiple missing teeth, severe decay, or a combination of dental issues, this holistic approach provides personalized solutions to rejuvenate your smile and improve oral health.

At Ami Dental Clinic & Implant Center, we carefully assess your needs and use advanced dental techniques to create a customized treatment plan that may include dental implants, crowns, bridges, veneers, and more. Our goal is to restore both the appearance and function of your teeth, enabling you to smile, speak, and eat with ease.